Back to Product
Prof. Dr. R. Capanna´s solution
with the LINK Embrace Shoulder System
Patient case from Pisa, Italy

Prof. Dr. R. Capanna
Hospital Cisanello
Pisa, Italy
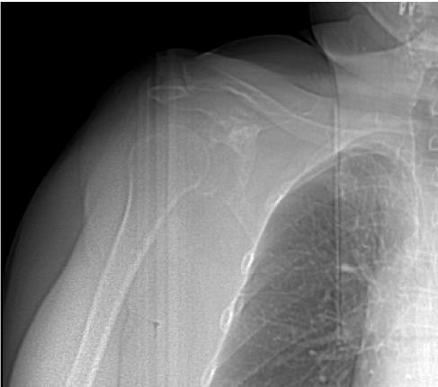
Pre-op

- 60 year-old patient
- Sarcoma of right scapula
- Requested supply of
- Total scapula with glenoideal head
- Extended reverse tray
- Constrained PE-insert
- Based on standard LINK Embrace components
- Humeral fixation with cemented Embrace stem

Concept proposal of customLINK department

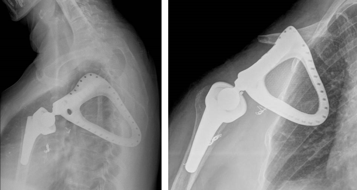
- Total scapula replacement, right side, made of Ti6Al4V, with TrabecuLink structure
- Glenoideal head, 22 mm diameter, made of Ti6Al4V with hypoallergic PorEx coating (TiNbN)
- Extended Reverse Tray
- Constrained PE-Insert with locking ring
- Scapular replacement with special TrabecuLink filling for promotion of connective tissue attachment


Post-op x-rays

