Back to Product
Dr. Stefan Pietsch´s solution
with the LINK Embrace Shoulder System
Patient case from Eisenberg, Germany

Dr. Stefan Pietsch
Head of Department Sport/Shoulder
Waldkliniken Eisenberg, Germany
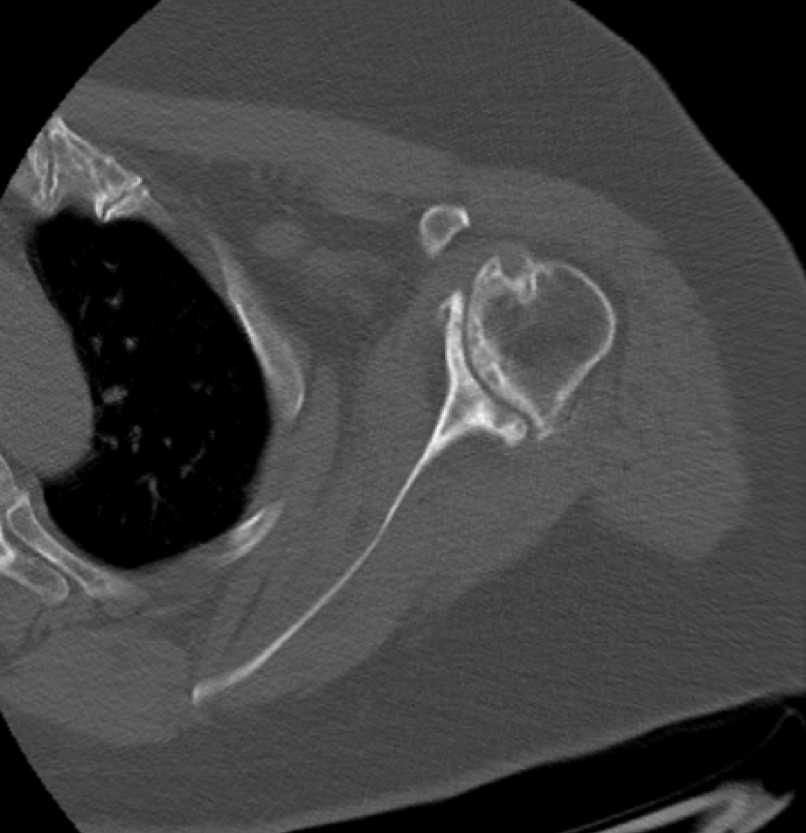
Pre-op



- 67-year-old female
- Severe pain
- Cuff tear athropathy
- Severe glenoid destruction
- Planned for bone allograft using mediCAD planning tool
Post-op


Surgical Plan
- Glenoid restoration with Bio RSA
- with appr. 10 mm thickness (allograft)
- Implantation of a cementless Embrace RSA with Humeral Short Stem
- Pre-op planning using the mediCAD 3D Shoulder Module
Result
- Cementless RSA with Humeral Short Stem,
- Humeral Reverse Tray neutral
- Glenosphere ø 36 mm and PE Insert height 0
- Bio RSA carried out with 10 mm bone allograft
- Good stability and ROM
- Good inferior glenoid overhang and lateralization
- Good function and pain relieve