Back to Product
Dr. Ruiz Ibán´s solution
with the LINK Embrace Shoulder System
Patient case from Madrid, Spain

Dr. Miguel A. Ruiz Ibán
Chairman of the Shoulder and Elbow Unit at the Department of Orthopaedic Surgery
University Hospital Ramón y Cajal,
Madrid, Spain
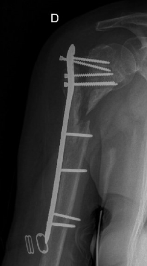
Pre-op

- 81-year-old female patient
- Multiple medical issues
- Fracture of proximal humerus
- 2 years ago > ORIF with plate in Honduras
Poor outcome:
- Very limited function
- Severe pain (8/10)
- Clear non-union
- Suspected infection
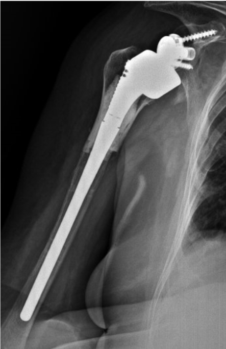
Post-op

Implantation of the LINK Embrace with hybrid fixation
- Modular Stem, L 165 mm, uncemented, combined with
- Proximal Body for maximum intra-op adaptability and stable proximal humerus, with allograft, cemented
- Eccentric PE-Gleno-sphere with 39 mm diameter and CoCr Reverse Insert with a 20° inclination
Result
- Second cultures (-)
- Good postoperative evolution
- No wound problems
6 months follow-up:
- No pain
- Active flexion: 70º
- Limited IR-ER