Back to Product
Dr. Marcus Beuchel´s solution
with the LINK Embrace Shoulder System
Oldenburg, Germany

Dr. Marcus Beuchel
Head of the Shoulder Department
Pius Hospital
Oldenburg, Germany
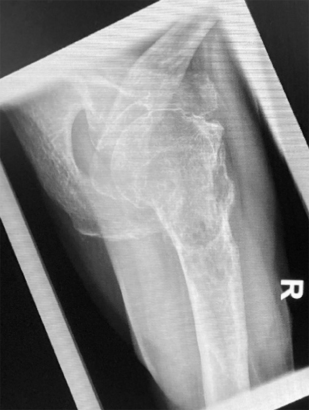
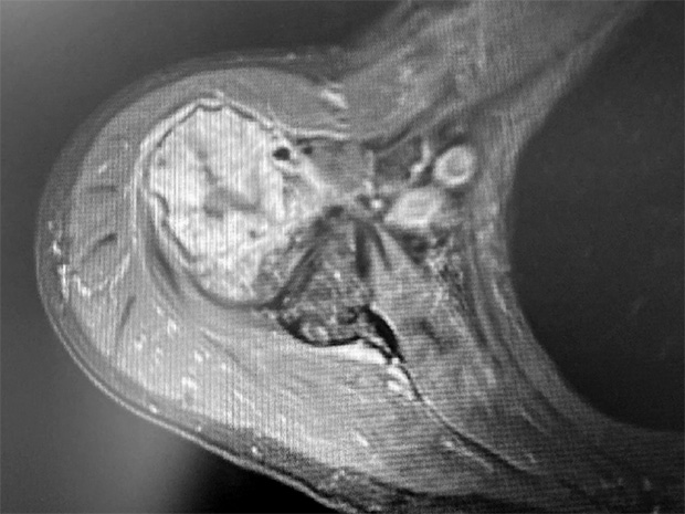
Pre-op


Pictures 1 and 2: X-ray a-p and MRI


Picture 3 and 4: X-ray m-l and MRI
Patient:
- 73 year old male with bone tumor in the proximal humerus right side
Surgical plan:
- Humeral resection appr. 5 cm below surgical neck
- Joint restoration using a proximal humerus component
- Cemented humeral stem fixation
- Reverse joint configuration with appropriate deltoid tensioning
Intra-op



Picture 5, 6, 7: Exposure of humeral head, resected head and defect
Procedure
- Acces to the joint via delto-pectoral approach
- Exposure and resection of proximal humerus appr.6 cm below head


Picture 8 and 9: MEGA C UL Components and assembled humeral MEGA C UL component
Procedure continued ….
- Implantation of Embrace Reverse Glenoid Baseplate with...
- Pressfit fixation and 3 cortical locking screws superior, inferior, posterior
- Implantation of Embrace Glenosphere in 39 mm diameter, eccentrical
- Selection, assembly, insertion and trialing of LINK Megasystem C Upper Limb trial components for humeral replacement
- Assembly of MEGA C Upper Limb System components, consisting of MEGA C UL Proximal Body Size 42, 20 mm Humeral Segment wit TrabecuLink surface and Cemented Stem, Dia. 11mm, 90 mm length, Adapters and Fixation Screws


Pictures 10 and 11: Application of suture tapes for reattachment of soft tissue
Procedure continued ….
- Preparation and application of high viscosity bone cement
- Implantation of humeral component
- Application of surgical sutures for muscle reattachment
- Mounting of LINK Embrace Reverse Tray, neutral version
- Implantation of Embrace Reverse Insert height 0
- Final reduction with good stability and ROM
- Wound closure
Post-op


- Pictures 12 and 13: post op x-rays with MEGA C Upper Limb and LINK Embrace components
- Good caudal overhang of eccentrical glenosphere and voluminous Proximal Body for appropriate deltoid pre-tensioning
- Distal Stem, cemented and well fixed