Back to Product
Dr Heredia´s solution
with the LINK Embrace Shoulder System
Patient case from Madrid, Spain

Dr. Diaz Heredia
Shoulder and Elbow Unit at the
Department of Orthopaedic Surgery
University Hospital Ramón y Cajal,
Madrid, Spain
Pre-op

- 66 year-old female
- Proximal humeral fracture 6 months ago
- Initially conservative treatment
- Poor outcome
- Very limited function
- Severe pain (8/10)
- Mal-union/ necrosis

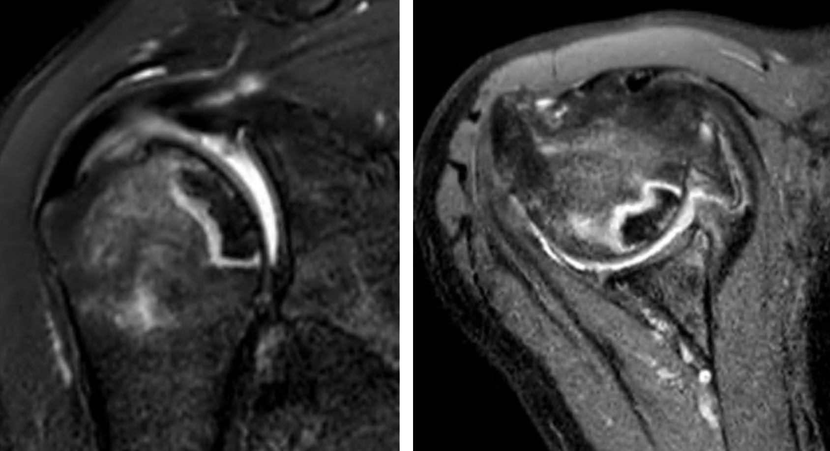
MRI scan showed preserved rotator cuff
Post-op

Implantation of LINK Embrace using
- Short stem size 15
- Head Adapter 6 mm offset
- Humeral Head with 47 mm diameter, 15 mm height
- Convertible Glenoid size M

1 year follow up
- No complications
- No pain
- Good ROM