Back to Product
Dr. Guerra´s solution
with the LINK Embrace Shoulder System
Patient case from Bologna, Italy

Dr. Enrico Guerra
Head of the Shoulder and Elbow Surgery Unit
Rizzoli Orthopaedic Institute
Bologna, Italy
Pre-op

- Sequelae of proximal humerus fracture, treated with plate and screws in 2001
- New right shoulder fracture, treated conservatively in 2008
- Now in severe pain
- Elevation 40°, abduction 30°, very low rotation
- Deltoid muscle can be activated

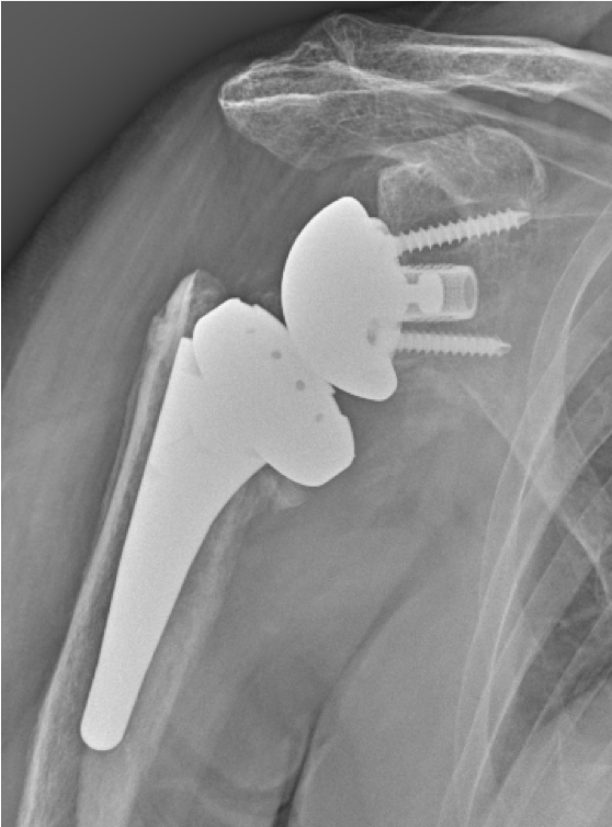
Post-op


Implantation of the LINK Embrace
- Short stem, uncemented
- Reverse Offset Tray for humerus lateralization
- Reverse Glenoid Baseplate with the TrabecuLink structure for bone integration with central and peripheral screws
- Neutral glenosphere 39 mm diameter
Result:
- Slight stem subsidence in first-follow-up
- Stabilized stem position in second follow-up
- Fracture consolidation
Clinic:
- Shoulder actively mobile
- 70° in elevation and abduction
- No pain