Back to Product
Dr. Braito´s solution
with the LINK Embrace Shoulder System
Patient case from St. Johann, Austria

PD Dr. Matthias Braito, PhD
Orthopaedics and Traumatology
Hospital St. Johann
Tyrol, Austria
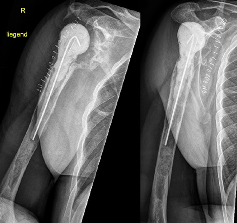
Pre-op

- 49-year-old male
- Height 187 cm / Weight 107 kg
- After three revisions of a right reverse shoulder prosthesis the component got infected with subsequent stem loosening (cemented revision stem)
- Infection treatment with cement spacer
- Target: Reimplantation of cementless RSA with individualized custom-made reverse glenoid baseplate

- CT-Scan image a/p with cement spacer
- Large glenoid defect
- Large humeral bone defect
3D CT–Data analysis and resection proposal

- Resection of the inferior bone fragments on the glenoid side
- Cement removal from the humeral cavity


- First design proposal
Design proposal for the glenoid (customLINK)

- customLink glenoid baseplate with TrabecuLink structure
- 15 mm Central peg lenght and 7 cortical screws
- Coracoid and acromial flap
- Excentrical Glenosphere, dia. 42mm, 4 mm ecc.
- Inclination / inferior tilt 5 degree



Design proposal for the humerus (customLINK)

- Modular Revision Stem, 165 mm length, diameter between 18 to 24 mm
- Proximal Body, size M, height +0 mm
- Reverse Humeral Tray, neutral
- Reverse Humeral Insert, UHMWPE, dia. 42 mm, height 3 mm
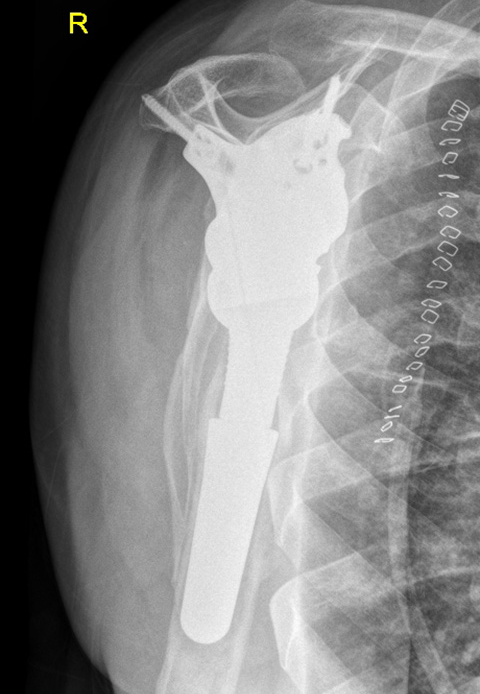
Post-op

Implants used:
- customLINK implant was a perfect fit
- Stable fixation of glenoid with seven bone screws
- Eccentric Glenosphere 42 mm / 4mm
- Modular Revision Stem, 75 mm length, size 24 mm
- Proximal Body, size L, height +5 mm
- Reverse Humeral Tray, neutral
- Reverse Humeral Insert, UHMWPE, dia. 42 mm, height 6 mm, 10° inclined
Final result:
- Good range of motion
- Good joint stability
- Good pain relief

